ホワイトニング
ホワイトニングとは
ホワイトニングとは、審美歯科の一分野で、広い意味では【歯を白くすること】全てを指します。例えば歯のクリーニングから始まり、ブリーチング、マニキュア、ダイレクトボンディング、ラミネートベニヤ、セラミッククラウンまで、全てをホワイトニングということができます。現在一般に使用されているホワイトニングはブリーチングのことを指すことが多ようです。このホワイトニング(いわゆるブリーチーング)とは歯を削らずに、歯の着色有機質を分解して漂白し、白くする技術のことです。ホワイトニングには歯科医院内で行う「オフィスホワイトニング」と、歯科医師の指導の下、ご自身で自宅で行う「ホームホワイトニング」があります。
オフィスホワイトニングとは
オフィスホワイトニングとは、歯科医院で歯科医師が行うホワイトニングのことです。歯に専用の薬剤を塗ってレーザーやLEDの光を当てることによって、色素を分解し歯を白くする方法です。10分~20分の照射を2~3回繰り返して行います。照射時間は個人差により変わります。オフィスホワイトニングだけでは十分に白くならない場合もあり、ホームホワイトニングと併用することによって、より効果が上がります。
ホームホワイトニングとは
歯のホワイトニングとは、歯に薬剤を塗って漂白することですが、ホームホワイトニングとは、歯科医師の指示のもとに、患者本人が自宅で寝ている間に行うものです。方法は、まず歯科医院にて自分の歯型に合わせてトレー(薄くやわらかいマウスピース)を作ります。夜、寝る時にそのトレーの中に薬剤(ホワイトニングジェル)を注入し、歯に装着します。手順はこれだけです。通常2~4週間程実行しますが、効果については個人差があります。抗生物質の副作用など先天的で内因性の変色に対しては大きな効果を期待できないかもしれませんが、大多数の症例においては効果は確かめられています。ホームホワイトニングに適する歯であるかどうかは診査することによってわかりますので歯科医院等にてお気軽にカウンセリングをお受けすることをお勧めします。
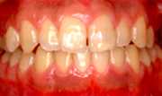
【Before】
【After】
ホワイトニングQ&A
クリーニングとホワイトニングの違いは?
クリーニングはタバコのヤニ・歯石など、歯の表面の汚れを落としていくもので、歯を白くする治療ではありません。ホワイトニングは、オフィス ホワイトニングとホームホワイトニングの二種類の治療法で歯を白くします。
虫歯にもホワイトニングはできますか?
痛みの原因にもなりますので虫歯や歯肉の炎症がある方は治療を行ってからのホワイトニングをお勧めします。
ホワイトニングの効果はどれ位続きますか?
効果の持続期間は個人差がありますが、通常6ヵ月程度で少し後戻りをおこします。しかし、3~6ヵ月に一度の歯のクリーニングとタッチアップにより白さを維持する事が出来ます。
ホワイトニングに使用される薬剤は安全ですか?
現在、治療では主にオキシドールの主成分である過酸化水素水を使用していますので、安全です。
治療期間はどれくらいかかりますか?
1回でも効果はでますが通常3回から4回1週間おきに治療していきます。 その後、3~6ヵ月に一度クリーニングなどをお勧めします。
治療済みの歯もホワイトニングできますか?
つめた物やかぶせてある物は漂白できません。お口の中、全体のホワイトニングを考える場合にはホワイトニングの後にその色に合わせ、つめ物やかぶせ物を替える治療をおすすめします。
神経のない歯はどうすれば白くなりますか?
神経を抜いてしまった歯はホワイトニングをしても後戻りしやすく、そのまま放置しておくと黒ずんでしまう為、神経のない歯に関してはセラミック治療をおすすめします。





